つけたまま忘れたコンタクトレンズが行方不明なんだが

1 : 2025/09/14(日) 06:57:27.414 ID:hoBcO8.ti
目の裏に行くことはないらしい
2 : 2025/09/14(日) 06:58:00.412 ID:hoBcO8.ti
まぶたの裏にも多分ない これやばくね?片方の目からは取り出せた
3 : 2025/09/14(日) 06:58:18.966 ID:ozpUs7BDh
あるぞ
目の裏にコンタクトたまりまくって外科手術したやつがいるぞ
4 : 2025/09/14(日) 06:58:20.781 ID:M/HKaKVUW
枕元に落ちとるやろ
5 : 2025/09/14(日) 06:58:21.626 ID:4DQfZoqYW
一体化したんやろ
やったやん
7 : 2025/09/14(日) 06:58:32.293 ID:nYZ7idQJk
張り付いたな
8 : 2025/09/14(日) 06:58:50.784 ID:FtU01vtc8
まぶたの裏にいっとるんやろ
9 : 2025/09/14(日) 06:59:59.835 ID:dVIdMoP4A
吸収されてるぞ
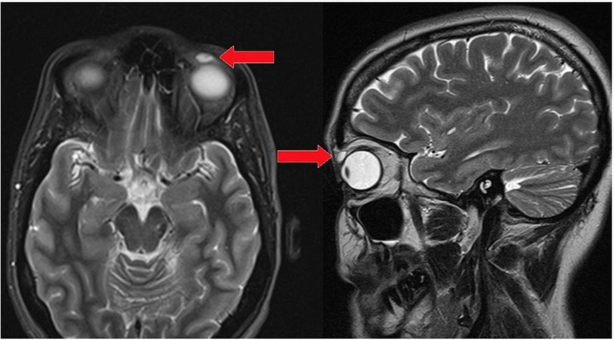
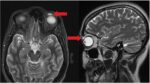
10 : 2025/09/14(日) 07:00:39.374 ID:zAhy2Xr9m
まぶたの裏にコンタクト27枚収納事件

レス10番の画像1

レス10番の画像2
25 : 2025/09/14(日) 07:13:42.582 ID:hoBcO8.ti
>>10
こいつでも生きてるんだし大丈夫だよね?
30 : 2025/09/14(日) 07:16:44.076 ID:No4Wol0dB
>>10
これ外科手術ならイッチも手術になるんかね?
枚数違うとは言えたぶん起こったことは同じやろ
11 : 2025/09/14(日) 07:00:59.688 ID:hoBcO8.ti
一体化?これが話題のILC?ってやつ?んなわけあるか
枕元にはなかった
違和感ないから逆に怖え
13 : 2025/09/14(日) 07:02:02.101 ID:hoBcO8.ti
たまにコンタクトつけたらこれだよ…
14 : 2025/09/14(日) 07:02:11.028 ID:nYZ7idQJk
普通に落ちただけ
15 : 2025/09/14(日) 07:02:16.585 ID:Xlb43rzn0
お腹減った時のために入れとけ
小腹空いたら食え
16 : 2025/09/14(日) 07:02:36.652 ID:L3rJ7vIE5
コンタクト怖くない?
17 : 2025/09/14(日) 07:03:05.549 ID:hoBcO8.ti
これってソフトだから起きる現象?ハードにしたら起こらない?
18 : 2025/09/14(日) 07:03:51.640 ID:ozpUs7BDh
>>17
ハードで同じことしたら最悪失明やぞ
19 : 2025/09/14(日) 07:04:35.633 ID:hoBcO8.ti
>>18
ハードこわすぎる
22 : 2025/09/14(日) 07:09:00.601 ID:WDg5j7PFQ
洗面器に水溜て顔つけて目パチパチさせてみろ
コンタクト出てくる場合ある
24 : 2025/09/14(日) 07:12:37.418 ID:hoBcO8.ti
あっとかやめろや こっちは結構焦ってるんやぞ
26 : 2025/09/14(日) 07:14:26.754 ID:MhCOpXGrz
裏側いってるだけやで
コンタクト屋併設の眼科なら日曜もあいてるから行ってきなさい
27 : 2025/09/14(日) 07:15:02.698 ID:hoBcO8.ti
>>26
木曜まで仕事や
29 : 2025/09/14(日) 07:16:03.243 ID:A2ZRgCKqw
つけ外すの忘れて2枚重ねはある
牛乳瓶の底みたいな度の強さになる
31 : 2025/09/14(日) 07:18:44.770 ID:MhCOpXGrz
目閉じて空気側が瞼で押さえられてるときにレム睡眠で眼球運動したらコンタクトは簡単にずれるで
32 : 2025/09/14(日) 07:18:51.325 ID:uP1nPqRPR
裏に行くのってガチであるんか
調べたら裏に行くことはないってあったから安心してたのに
ワイも10枚くらい入ってるかもしれんやんけ
36 : 2025/09/14(日) 07:22:00.788 ID:MhCOpXGrz
>>32
裏って言うのは瞼の裏って意味やで
眼球の裏側に行くことはありえん
37 : 2025/09/14(日) 07:23:38.091 ID:ozpUs7BDh
>>32
眼球の真裏って意味ではないんやで
33 : 2025/09/14(日) 07:20:36.580 ID:4DQfZoqYW
目の裏じゃなくてまぶたの裏、つまり上のとこに実際にあるケースがあるみたいやね
ただ違和感はあるらしい、貯まった人は高齢だからボケてたんやろ
34 : 2025/09/14(日) 07:21:00.480 ID:AU6oHcyCC
裏側行ってたとしても心配せんでええで
一ヶ月くらいした一周して下から出てくるから
38 : 2025/09/14(日) 07:26:40.998 ID:hoBcO8.ti
安心するにはレントゲン撮るしかないんか…

コメント

タイトルとURLをコピーしました